Can Big Dogs Get Slipped Discs? A Black Lab’s IVDD Case

Many veterinarians have only seen a slipped or ruptured disk in a Dachshund–but this can happen in any breed. Pit Bulls, Labs, Boxers, Hounds, German Shepherds and other large dogs breeds account for ~15% of cases at VNIoC.

One of these patients was Bodhi, a six and a half year old Labrador Retriever who was seen in mid-January by our colleagues at Pet+ER for non-ambulatory paraparesis. Bodhi is usually an active dog, but after a run with his owner two days earlier, he was slow to rise and reluctant to leave his spot under the table. He was treated for a potential musculoskeletal injury with carprofen and gabapentin, but got worse over just 48 hours.

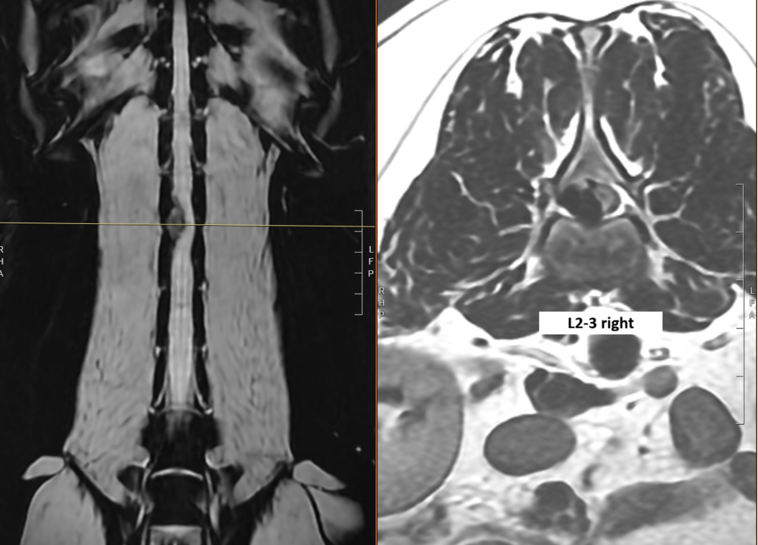
When Dr. Jay McDonnell assessed him, Bodhi was in significant pain, unable to move his hind legs, had normal reflexes, and could feel his toes. We considered this an emergency and proceeded to perform a spinal MRI, which revealed an intervertebral disc extrusion — a ruptured disk — between the second and third lumbar vertebrae (L2-L3), causing severe compression of the spinal cord. 

Left Image: A coronal view of Bodhi’s back showing a large, right-sided, extradural compression at L2-3.

Right Image: An axial view at the level of the line. The spinal cord is severely compressed to the left (grey tissue) by the large right-sided disk (black tissue).

Dr. McDonnell performed an emergency hemilaminectomy where the compressive disc material was removed, the spinal cord was decompressed, and fenestrations were performed on the local disc space. 

After several days in the hospital, Bodhi was ambulatory but could not rise on his own. However, he was much more comfortable and could urinate with assistance. Bodhi  went  home with oral pain medications, anti-inflammatories, and urinary care. He received excellent at-home care and when he was returned for a recheck 24 days post-op, he showed remarkable progress —being fully ambulatory with a very small degree of weakness in his right rear leg. 

Bodhi’s parents shared that he is nearly back to 100% and is eager to do more than just his prescribed leash walks and underwater treadmill rehab!

“We can’t say enough about the entire staff at VNIoC, including Dr. McDonnell and the vet techs who were all amazing. It was so scary that when he became paralyzed, we said our goodbyes to Bodhi. The surgery was such a success that we’re now hoping for another six and a half years with him.” 

–Bodhi’s “Pawrent” Patrick T.

This type of recovery is typical of what we see following a hemilaminectomy — a gratifying result that brings relief to the pet owners and extended life to their beloved pet.

Previous
Previous

Emergency MRI Reveals ANNPE: Kali’s Rapid Road to Recovery

Next
Next

HBOT Safety/Review Questions #7